
Abscessed Tooth Treatment
An abscessed tooth is essentially a pus pocket that forms within the tooth. It can occur in different parts of

Mouth Guard Dentist in Calgary
If you, your child, or a loved one plays a sport, any of you could benefit from a mouth guard.

Affordable Dental Care in Calgary
Flexible Payment Plans for Stress-Free Care Many people avoid dental visits because of high costs, but affordable dental care is

Clear Braces in Calgary
At Inglewood Family Dental, we strive to provide our patients with effective dental treatments to help them achieve stunning results.

Dentures in Calgary
Are you or someone you love missing a tooth, or several teeth and looking for solutions to replace them? Dentures

Veneers in Calgary
Are you or someone you love looking to achieve the perfect smile? You don’t have to be a celebrity or

Dental Extraction in Calgary
Are you or someone you love in need of a dental extraction? Whether you are dealing with bone loss, severe

Calgary Dental Treatment Guide
Dental Treatment is an important part of preventing and treating oral disease. At Inglewood Family Dental, we created the Calgary

Calgary Dentures 101: What You Need To Know
Are you or someone you love considering getting dentures? Maybe you already have them, or know someone who has them.

How to Choose the Best Dentist
If you’re in between dentists, moving to a new area, or just looking for a switch in your dental care,

Sensitive Teeth Treatment
Calgary Dentist Explains Sensitive Teeth Treatment One of the most common dental issues that people deal with is known as

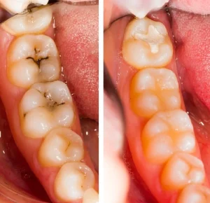
Tooth-Colored Fillings
If you are experiencing tooth pain, it may be caused by a cavity. Cavities are sections of the tooth that